Before and After
Incredible results and inspiring journeys; see some of our patients' before and after photos next time you visit our practice.

Unfortunately, this 21-year-old had a skateboarding accident and severely chipped his tooth. Thankfully, it did not involve the nerve or surrounding structures of this tooth. In this case, we restored the tooth with composite-only or “bonding” (no porcelain crown or veneer was needed) to the correct shape, color, and natural look it had prior to the accident.

This construction worker was unhappy with the gaps and color of his teeth. Due to the good position and bite he already had, we did additive-only composite or “bonding” to restore his smile. We were able to whiten his teeth and be very conservative without using braces, porcelain crowns, or veneers.

This kind man had a three-unit upper front bridge fail due to bone loss and decay. Instead of involving more teeth and doing another bridge, we placed two implants and restored them with two beautifully matched implant crowns.

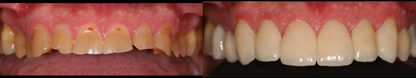
This British man had severely eroded teeth, which caused a collapsed bite. We were able to open his bite with crowns to re-establish the room for his bite and keep his teeth from failing.

This woman hated the size and misalignment of her smile. With whitening and porcelain veneers, we created the ideal length and alignment she was looking for.